MICSI-PET Launches: Anatomical Positron Emission Tomography
"Software that elevates medical imaging."
TL;DR: MICSI-PET makes PET imaging fast, anatomical, and scalable for Alzheimer’s care.
Founded by Gregory Lemberskiy & Benjamin Ades-Aron
Problem: PET is the bottleneck capping the entire Alzheimer’s market.

Disease modifying Alzheimer’s drugs like Leqembi and Kisunla are here, and they are projected to generate $5-8B/year by 2030. However, to get these drugs, patients need a positive amyloid PET scan.
This is an ambitious figure that is limited by the fact that there are only 2500 PET/CT scanners in the US, where the average age is 14 years old. PET scanners have a predictable 4-5% drop in sensitivity (or detected count rate) per year [Watanuki et al. Ann Nucl Med. 2010], suggesting a loss of half of the sensitivity since its initial install. Operationally, this sensitivity loss forces centers to lengthen acquisitions or increase dose just to preserve image quality, reducing throughput or margins right as amyloid PET demand is exploding. It’s also unrealistic to assume that the existing PET fleet is built for imaging Alzheimer’s at scale. PET systems are also heavily utilized for oncology, cardiology, infection, and presurgical planning, where 74% of all PET scans use FDG, a general purpose tracer for cellular metabolism.
Solution: Transform aging PET fleets into Anatomical PET with MICSI-PET.

MICSI-PET is a turnkey upgrade that dramatically enhances PET image quality by using the MRI as an anatomical guide. This process does not require any additional imaging as all patients should have received an MRI prior to amyloid PET imaging. Operationally, this upgrade removes the primary barrier for scaling Alzheimer’s therapies by (1) enabling high-end PET imaging on low-end or aging PET scanners; (2) enabling shorter PET examinations leading to greater throughput; (3) minimizing ambiguity of positive/negative amyloid PET imaging by showing clearer boundaries between gray and white matter:

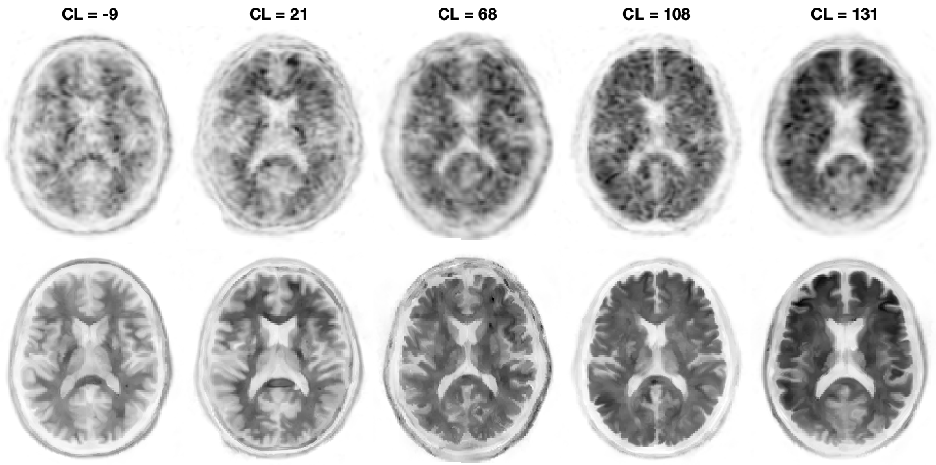
Figure: Coregistered conventional PET and MICSI-PET amyloid images across a range of amyloid burdens, highlighting differences in apparent cortical sparing: left, amyloid-negative with strong gray/white contrast; right, amyloid-positive with reduced gray/white contrast.
Addressing the Radiologist Workforce Crisis: Scaling Alzheimer's care isn't just a hardware problem; it's a workforce problem. AD imaging is about to become a high-volume modality layered onto a nuclear medicine workforce where 54% of radiologists already report burnout.
Beyond anatomical PET, MICSI-PET is designed to streamline diagnosis through automatic SUVR/Centiloid reporting with built-in QC.

Fast and anatomical PET is just the start. The same MR-guided upgrade would generalize across tracers, and eventually across doses, elevating the global standard of PET toward a new default: molecular imaging that’s both specific and anatomically precise.
Their first product, MICSI-RMT, is already FDA-cleared and in the market. MICSI-PET is currently in clinical validation and they are preparing their FDA submission.
Learn More
🌐 Visit www.micsi.com to learn more.
🤝 Ask: They are expanding pre-FDA clearance pilot collaborations to validate MICSI-PET across sites and workflows, and they are closing a seed extension to support multi-center validation and early installs. If you lead a PET imaging program or invest in medical imaging and Alzheimer’s care, they would love to connect. Find Gregory here or Benjamin here.
👣 Follow MICSI on LinkedIn.
Need help with the upcoming tax deadline?
Take the stress out of bookkeeping, taxes, and tax credits with Fondo’s all-in-one accounting platform built for startups. Start saving time and money with our expert-backed solutions.
.png)
.png)
.png)
.png)
.png)












.png)

