Nucleo Launches: Automated Cancer Diagnostics
"Nucleo helps oncologists and radiologists extract insights from CT scans to characterize and treat tumors."
Nucleo
Founded by Angelica Iacovelli & Luca Pegolotti
The Team
Angelica was previously researching at Stanford University, where she worked on cardiovascular modeling, simulating blood flow dynamics using GNNs, LSTMs, and Transformers. The models are now part of NVIDIA’s scientific libraries. She holds BS+MS in Mathematical Engineering from Politecnico di Milano and completed a research exchange at IIT Madras. In 2025, she was recognized as one of the 11 most influential Italians under 35 in software.
Luca is a researcher in Applied Mathematics and AI for healthcare. He holds degrees from Politecnico di Milano (BSc) and EPFL, Switzerland (MSc and PhD), and conducted research at the Stanford School of Medicine during his PhD and postdoctoral studies. Before founding Nucleo, he was part of Apple Health AI, where he worked on physics-informed machine learning.
Problem
Cancer is not only a biological disease; it is a logistical failure.
Cancer is responsible for 1 in 6 deaths [1]. ≃ 20% of those deaths happen simply because proven treatments start too late. The latest registry data show that the median diagnostic interval in the United States is about 36 days [2,3], while the median time-to-treatment initiation is roughly 32-41 days (≈38 days on average) [4,5]. So a typical American with cancer waits ≈ 9-11 weeks (65-80 days) before therapy actually starts.
A four-week delay after diagnosis adds 6–13% relative mortality; risk rises another ≈8 % for each additional 4 weeks (e.g. 12-week delay ≈ +26-30 % mortality) [6].
By automating key tasks in the oncological workflow we plan to cut 9-11 weeks to ≤ 10 days.
Solution
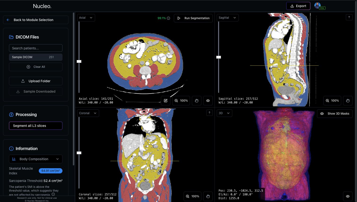
The doctor imports the CT scan. The Nucleo AI-powered software automatically extracts key oncological metrics such as sarcopenia, body composition assessment, lesion volume, and target vs. non-target lesion classification.
Some results:
- Our segmentation is 2,500x faster than the manual one.
- We achieved State-of-the-art performance in sarcopenia detection.
- Our validation studies show a 98% agreement between Nucleo and medical experts.

Learn More
🌐 Visit nucleoresearch.com to learn more.
📧 Contact the founders here.
👣 Follow Nucleo on LinkedIn & X.
References
[1] World Health Organization. Cancer. https://www.who.int/news-room/fact-sheets/detail/cancer (2024).
[2] Caplan, L. Delay in breast cancer: implications for stage at diagnosis and survival. Front. Public Health2, 87 (2014).
[3] Wattacheril, J. et al. Lag times in diagnosis and treatment of colorectal cancer. Aliment. Pharmacol. Ther.28, 1166–1174 (2008).
[4] Cone, E. B. et al. Assessment of time-to-treatment initiation and survival in a cohort of patients with common cancers. JAMA Netw. Open 3, e2030072 (2020).
[5] Khorana, A. A. et al. Time to initial cancer treatment in the United States and association with survival over time: an observational study. PLoS ONE 14, e0213209 (2019).
[6] Hanna, T. P. et al. Mortality due to cancer treatment delay: systematic review and meta-analysis. BMJ 371, m4087 (2020).
Need help with the upcoming tax deadline?
Take the stress out of bookkeeping, taxes, and tax credits with Fondo’s all-in-one accounting platform built for startups. Start saving time and money with our expert-backed solutions.
.png)
.png)
.png)
.png)
.png)











.png)

